
診療案内SERVICE
小児歯科

- 子どものむし歯を予防したい
- 子どものむし歯を治療したい
- 子どもに予防習慣を身につけてほしい
お子さんは、治療に時間がかかると嫌がって歯医者を嫌いになってしまうこともあります。当院では、迅速かつ的確に、痛みに配慮した治療を行うことを大切にしています。
また、原則として、初回から治療を始めることはありません。まずは、写真付きのオリジナル絵本を貸し出し、治療内容をお子さんご本人にも理解していただくよう努めています。
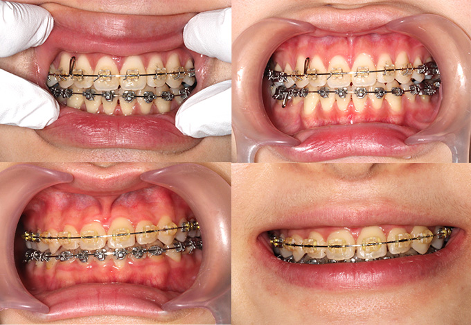
矯正歯科・小児矯正自由診療

- 歯並びを整えたい
- かみ合わせを改善したい
- 子どもの適切な歯と顎の成長を促したい
病院研修の中で口蓋裂(こうがいれつ)について学んでいたとき、歯並び治療の重要性を実感いたしました。マウスピース矯正は行わず、ワイヤー矯正や拡大床を中心に、幅広い症例に柔軟に対応いたします。
矯正治療だけでなく、矯正治療後の予防歯科やむし歯治療など、最後までしっかりと責任を持って診療しております。
- 自由診療です。
- 歯が動くスピードには個人差があります。
- 治療期間:約24~30ヶ月
- 治療回数:約24~30回
- 治療の流れ:カウンセリング・検査を行い、適切な治療内容をご提案します。ご納得いただいた矯正方法にて治療を開始します。

当院の矯正歯科は、カウンセリングと検査のうえで治療計画を提案しています。お一人お一人のお口の状態に合わせ、ワイヤー矯正や拡大床を用いて柔軟医対応し、治療開始後も口腔内カメラによる撮影を行い、患者さんご自身にお口の状態や経過をわかりやすく説明しながら治療をすすめます。
むし歯

- 歯が黒ずんでいる
- 冷たいものや甘いものが歯にしみる
- ものを噛むと歯が痛い
当院のむし歯治療では、治療を始める前に、患者さんにわかりやすく治療内容をご説明することを心がけています。治療計画表を作成し、通院の回数や費用総額、治療のメリット・デメリットまで、認識に相違がないように丁寧にご案内します。
治療前から、治療後のメンテナンスまでを含めて、一貫して誠実な対応と信頼関係の構築に取り組んでいます。
予防歯科

- 歯垢や歯石を取りたい
- 口の中をきれいにしたい
- むし歯や歯周病を予防したい
当院の予防歯科では、まずはお口の中のチェックとレントゲン検査を行います。その上で、歯磨きや食生活などの生活習慣の指導に取り組むとともに、むし歯がある場合は治療に進みます。3~4ヶ月に1回の通院で、お口の健康を維持しましょう。
お子さんのむし歯を予防するためには、奥歯の溝に歯科用プラスチックを詰める「シーラント」も効果的です。磨き残しが生じやすい歯の溝を埋めることで、奥歯のむし歯を予防できます。

当院の予防歯科は、最初にレントゲンなどを用いた診査・診断を行い、お口の状態に合わせた歯磨き指導や食事指導のうえ、シーラントと定期検診で予防習慣の定着をめざします。
定期検診
- むし歯や歯周病を予防したい
- 定期的に口の健康状態をチェックしたい
- いつまでも歯の健康を維持したい
歯医者は「むし歯になってから通う場所」ではなく、「むし歯を予防する場所」であると考えていただくことで、お口の環境をすこやかに保つことができます。定期的に歯科医院でチェックを受け、むし歯や歯周病の早期発見と早期治療に取り組みましょう。
お口の状態によって適切な通院の頻度は異なりますが、3~4ヶ月に1度を目安に、定期的にご通院いただくことをおすすめします。大切な歯の健康維持に、一緒に取り組んでいきましょう。
歯科口腔外科

- 親知らずが痛い
- 口を開けると顎が痛い
- 口内炎が治らない
歯科口腔外科では、親知らず、顎の痛み(顎関節症)、お口周辺の外傷、口内炎やできものなど、お口のさまざまなトラブルを外科的に診療します。患者さんからよく相談を受けるのは、親知らずのトラブルです。生えてくる向きによって歯と歯の間にすき間が生じると、歯ぐきの腫れや痛みにつながります。
ただし、特に下の親知らずは神経に近いため、抜歯が必要かどうかを慎重に診断する必要があります。
難しい症例の場合は、高次医療機関にご紹介するなど、患者さんにとってメリットが大きいと考えられる治療をご提案いたします。
ホワイトニング自由診療

- 歯の黄ばみが気になる
- 徐々に歯を白くしたい
- 刺激の少ない方法で歯を白くしたい
当院では、ご自宅でお好きな時間に取り組める「ホームホワイトニング」をご案内しております。
まず医院で専用のマウスピースを製作し、その中に薬剤を入れてご自宅でご使用いただきます。
低濃度の薬剤をゆっくりと歯の内部に浸透させることで、自然な白さが得られ、効果も持続しやすいのが特徴です。ご興味のある方は、ぜひお気軽にご相談ください。
※ホワイトニングを行うには、お口の状態が健康であることが前提となります。むし歯や歯周病がある場合は、治療を終えてからの実施となります。
- 自由診療です。
- 一時的に知覚過敏が起こることがあります。
- 治療期間:約1~2ヶ月
- 治療回数:約3~5回
- 治療の簡単な流れ
ホームホワイトニング:ご自宅などでホワイトニング剤を流し込んだマウスピースを毎日一定時間装着し、歯を漂白します。
ナイトガード一部自由診療
- 歯ぎしり、食いしばりのクセがある
- 顎関節症の症状がある
- 眠っている間に歯ぎしりをしてしまう
歯ぎしりや食いしばりの習慣がある方は少なくありません。歯に強い力がかかると、徐々に歯や顎にダメージが蓄積され、歯がすり減ったり、かみ合わせのバランスが崩れたりと、お口にさまざまな悪影響が及びます。また、顎関節症の原因になることもあります。
当院では、歯や顎の骨へのダメージを軽減するために就寝中に着用する「ナイトガード」を取り扱っております。気になる症状がある方は、ぜひ一度ご相談ください。
- 一部、自由診療です。
- 強い力がかかると、ひびや欠けが生じることがあります。
- 治療期間:約1~2週間
- 治療回数:約2回
- 治療の流れ:お口の型を取り、マウスピースを製作します。
